Not only are custom wheelchairs expensive (this bad boy was $8,000+), but they take months to come in. Joey's cool custom wheelchair that was designed to address his unique needs came in beginning of January. He was so proud of his chair and we were thankful to be out of limbo in that department. Or so we thought.
Then This Happened.
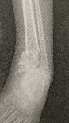
Our sweet boy just can't catch a break (haha). While playing on the trampoline 10 days ago, he broke his leg, both bones at the ankle. I knew immediately it was broken, he was shaking head-to-toe just like he was when he broke his arm. We quickly realized we had to call 911, as we had no way to keep it stabilized in our van to get him to the hospital. He was in so much pain, it was awful. It was traumatic for all of us. He was in pain, the other kids were scared and I lost any semblance of "calm and cool" mom.
They put him in a full-leg, non-weight-bearing splint and sent him home. He can't bear any weight on that leg and he had to have support for his leg... which meant his brand, spanking new custom chair didn't work because it didn't have leg-extensions. They sent him home with NOTHING, so I spent the next day figuring out how to get rental chair that met his new needs.

We were too afraid to send him to school in the splint, he was in so much pain and completely immobile. So he stayed home with me as we waited for the cast. His sweet classmates helped pass the time by sending home some adorable Get Well cards.
Watching and waiting for his siblings to come home.
This coincided with some really beautiful weather outside.
This is an outside boy, but he is limited in what he can do since he can't get out of his chair... bubbles did the trick for a little while.
When he saw his sisters playing in the mud, he wasn't to be left out.
Getting him in the van is really difficult with his leg fully extended, so he didn't leave the house for 6 days. When it came time to go the hospital for casting, it was tricky figuring out how to lift him in with my limited upper body strength and figuring out how to support his leg. This set-up with the pillows was his idea! It was painful for him (and me!) to get him settled in this spot, but we did it.
Casting was super stressful for this guy. Thankfully, after much discussion, they agreed to put the cast on below the knee instead of above the knee as they typically do. If it was above the knee, then we'd continue to struggle to get him in the van and he also couldn't ride the school bus in the rental wheelchair, so we were going to be in a transportation bind. I'm so thankful that it's below the knee= we can use his custom chair for the bus and he can get his leg in the van easier. We just have to be very careful that he doesn't bear any weight on that leg at all, which means he relies on us for his every move.
Ready to get back to school.
A cool lap desk from a friend...
just in time to help him do another first... homework!
just in time to help him do another first... homework!
The ortho doc wants to keep close tabs on the breaks to make sure they're healing properly, so we go back in a few days for new x-rays to see how it's doing. We're very hopeful that they won't have to "manipulate" the bones to help them heal properly as they indicated could be a possibility. This poor kid has been through so much medical trauma, we need his healing to go as smoothly as possible.
He is weary. We are weary. When his arm was broken, we had to feed him and be his arms. Now that his leg is broken, he is completely wheelchair bound. We have to lift him on/off the toilet, into the bath, onto the couch, etc. Because his upper body has limited functioning even on the best of days, he cannot help us much at all. He's like lifting dead weight! We have to rotate his positions to make sure he doesn't get sore... it's exhausting. But we're so thankful he's HOME and getting care from his family rather than recovering in the orphanage.
Since this happened, he's been flooding us with memories of his injuries in China. He's been adamantly telling us of how he broke his other arm in China, how both legs were in casts and how he "broke" his 2 front teeth when he fell. I don't know how much of it is true, but I believe he's probably had a lot of injuries in his life, he's such a fall risk and just so fragile.
This also has us discussing what we should and shouldn't let him do. The trampoline has been a topic of discussion since he came home... we really hate the thought of limiting him and keeping him out of activities the other kids are doing. Plus his arm was broken when he tripped on his own feet... He so desperately wants to keep up with everyone else. Yet at the same time, seeing him go through this pain and suffering is awful.
We've had so many unexpected complications in the 4.5 months since we've been home. It's so hard on him and on the rest of us. But this kid is so resilient and so BRAVE to just keep on keeping on every day- he's teaching us so much about perseverance and about living joyfully. We'd appreciate prayers for healing and a longer stretch of no drama!








































































